X

Fale Conosco:

Aguarde, enviando contato!

Bem vindo, Visitante, por favor faça o Login ou Cadastre-se.

Atlas Cirúrgico

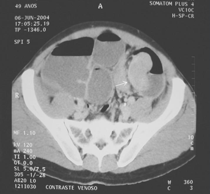
Obstrução Intestinal do Cólon

Large bowel obstruction

Cod.: 010C

Caso Código 010C de Obstrução Intestinal do Cólon - Case Code 010C of Large bowel obstruction
Caso AnteriorProximo Caso

Autor: Dr. Marcelo Betim Paes Leme, Volta Redonda/RJ - Brasil

Obstrução Neoplásica do Cólon.

Clique para fazer o download da imagem em alta resolução

Clique aqui para voltar (x)