Pólipos do Cólon
Colon polyps
Caso Código 017A de Pólipos do Cólon
Cod.: 017A
Caso Código 017B de Pólipos do Cólon
Cod.: 017B
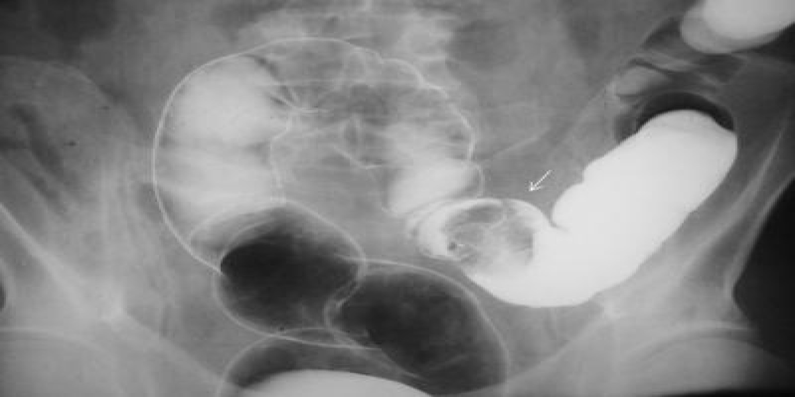
Caso Código 017C de Pólipos do Cólon
Cod.: 017C
Caso Código 126A de Pólipos do Cólon
Cod.: 126A
Caso Código 126B de Pólipos do Cólon
Cod.: 126B
Caso Código 170A de Pólipos do Cólon
Cod.: 170A
            
                




