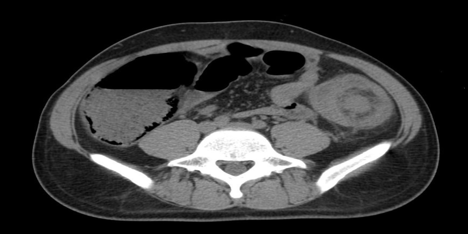
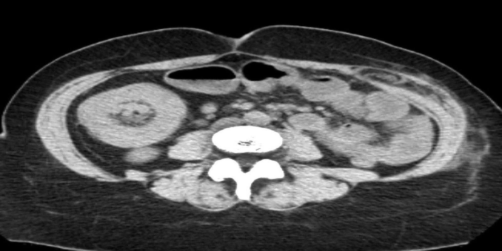
Intussuscepção
Intussusception
Caso Código 199A de Intussuscepção
Cod.: 199A
Caso Código 199B de Intussuscepção
Cod.: 199B
Caso Código 199C de Intussuscepção
Cod.: 199C
Caso Código 267A de Intussuscepção
Cod.: 267A
Caso Código 267B de Intussuscepção
Cod.: 267B
Caso Código 267C de Intussuscepção
Cod.: 267C
            
                




