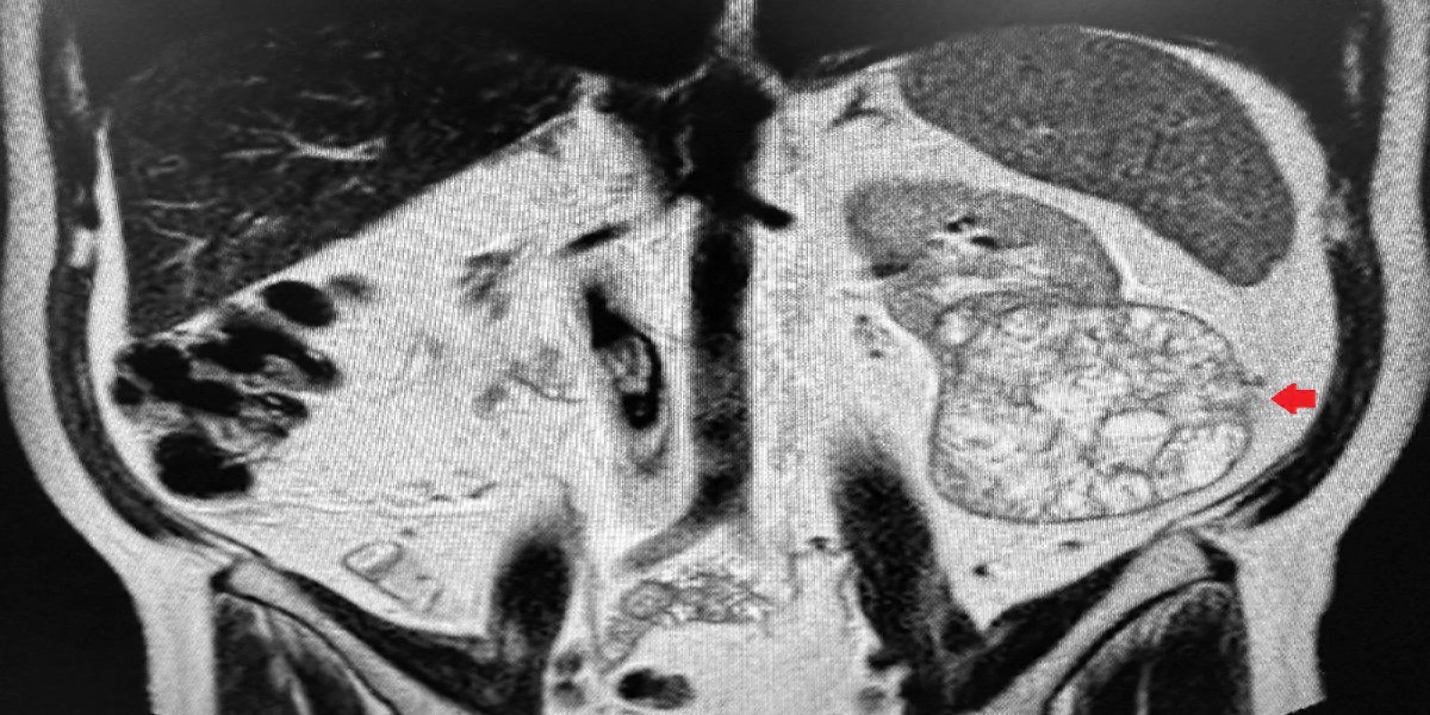
Tumor de células claras
Clear Cell Renal Carcinoma
Caso Código 242A de Tumor de células claras
Cod.: 242A
Caso Código 252A de Tumor de células claras
Cod.: 252A
Caso Código 252B de Tumor de células claras
Cod.: 252B
Caso Código 271A de Tumor de células claras
Cod.: 271A
Caso Código 271B de Tumor de células claras
Cod.: 271B




