Abscesso Hepático
Liver abscess
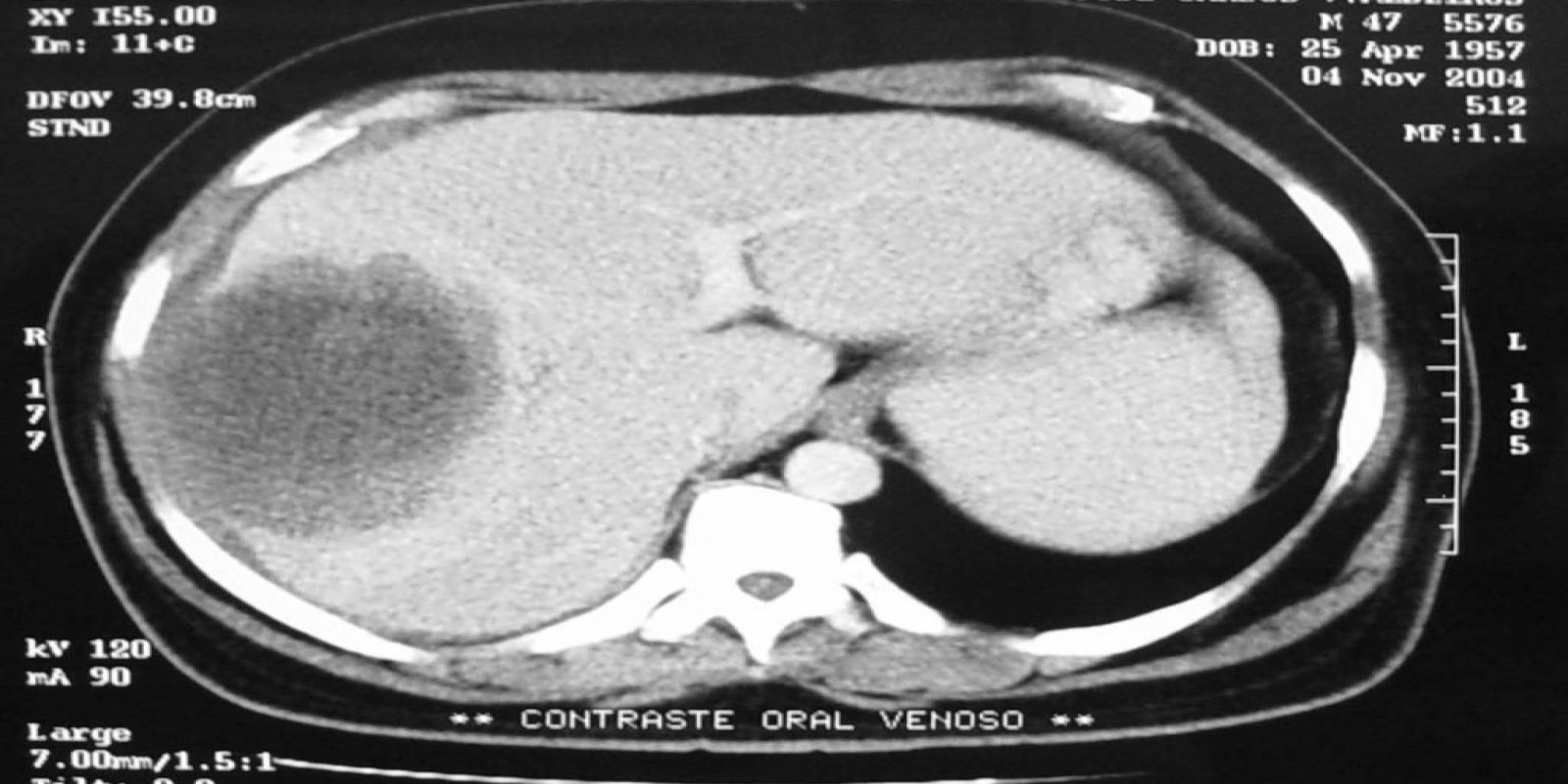
Caso Código 042A de Abscesso Hepático
Cod.: 042A
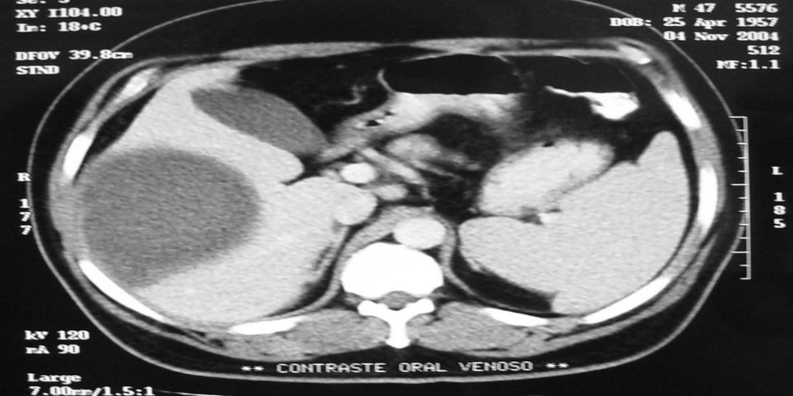
Caso Código 042B de Abscesso Hepático
Cod.: 042B
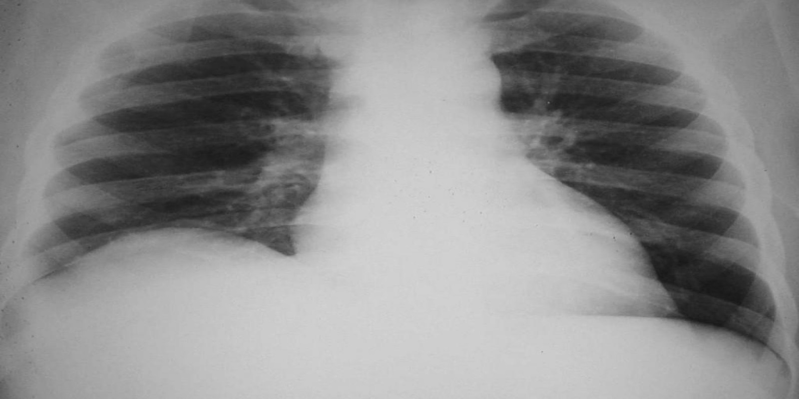
Caso Código 042C de Abscesso Hepático
Cod.: 042C
Caso Código 042D de Abscesso Hepático
Cod.: 042D
Caso Código 042E de Abscesso Hepático
Cod.: 042E
Caso Código 042F de Abscesso Hepático
Cod.: 042F
            
                




