Coledocolitíase
Choledocholithiasis
Caso Código 051A de Coledocolitíase
Cod.: 051A
Caso Código 052A de Coledocolitíase
Cod.: 052A
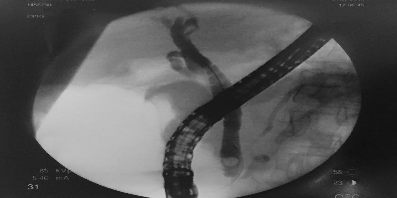
Caso Código 140A de Coledocolitíase
Cod.: 140A
Caso Código 180A de Coledocolitíase
Cod.: 180A
Caso Código 180B de Coledocolitíase
Cod.: 180B
Caso Código 217A de Coledocolitíase
Cod.: 217A
            
                




