Ganglioneuroma mediastinal
Mediastinal Ganglioneuroma
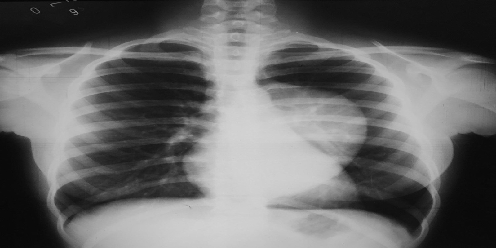
Caso Código 164A de Ganglioneuroma mediastinal
Cod.: 164A
Caso Código 164B de Ganglioneuroma mediastinal
Cod.: 164B
Caso Código 164C de Ganglioneuroma mediastinal
Cod.: 164C
Caso Código 164D de Ganglioneuroma mediastinal
Cod.: 164D
Caso Código 165E de Ganglioneuroma mediastinal
Cod.: 165E
Caso Código 186A de Ganglioneuroma mediastinal
Cod.: 186A
            
                




