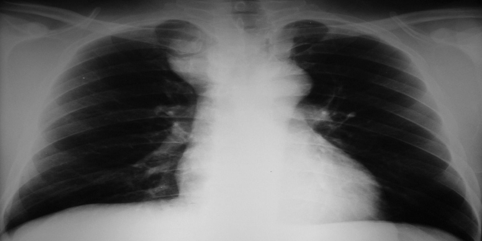
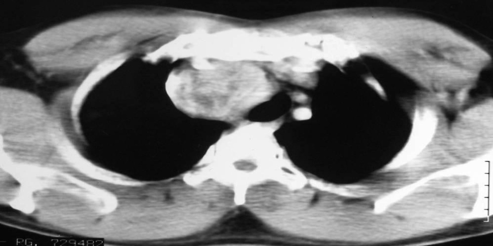
Tireóide ectópica mediastinal
Ectopic Mediastinal Thyroid
Caso Código 159A de Tireóide ectópica mediastinal
Cod.: 159A
Caso Código 159B de Tireóide ectópica mediastinal
Cod.: 159B
Caso Código 159C de Tireóide ectópica mediastinal
Cod.: 159C
Caso Código 159D de Tireóide ectópica mediastinal
Cod.: 159D
Caso Código 159E de Tireóide ectópica mediastinal
Cod.: 159E
            
                



