X

Fale Conosco:

Aguarde, enviando contato!

Bem vindo, Visitante, por favor faça o Login ou Cadastre-se.

Atlas Cirúrgico

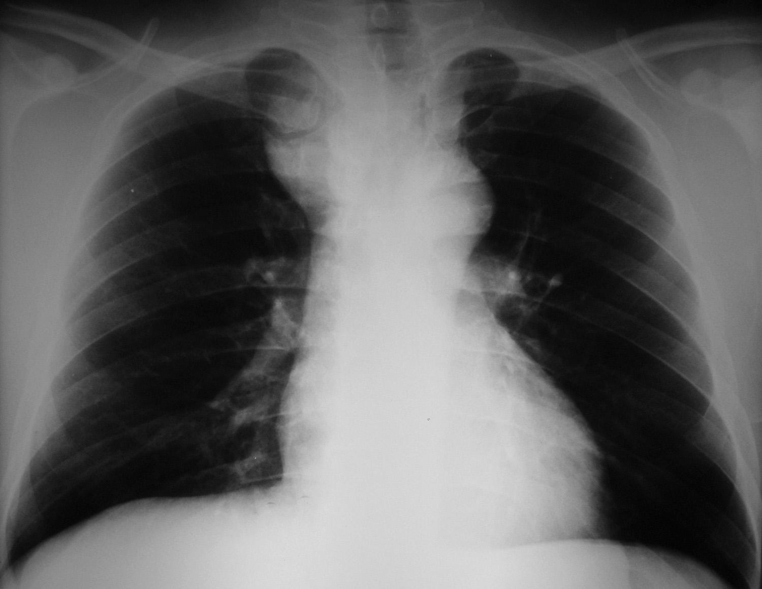
Tireóide ectópica mediastinal

Ectopic Mediastinal Thyroid

Cod.: 159A

Caso Código 159A de Tireóide ectópica mediastinal - Case Code 159A of Ectopic Mediastinal Thyroid
Proximo Caso

Autor: Dr. Gibran Ribeiro da Rocha, Vitória da Conquista/BA - Brasil

Tireóide ectópica mediastinal - Rx de torax com alargamento do mediastino.

Clique para fazer o download da imagem em alta resolução

Clique aqui para voltar (x)