Eventração diafragmática
Diaphragmatic Eventration
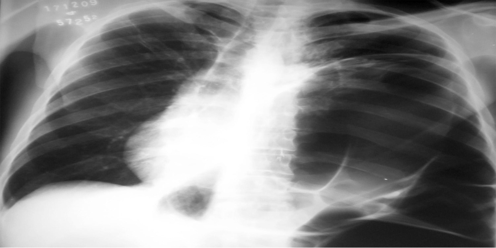
Caso Código 129A de Eventração diafragmática
Cod.: 129A
Caso Código 129B de Eventração diafragmática
Cod.: 129B
Caso Código 129C de Eventração diafragmática
Cod.: 129C
Caso Código 129D de Eventração diafragmática
Cod.: 129D
Caso Código 129E de Eventração diafragmática
Cod.: 129E
Caso Código 129F de Eventração diafragmática
Cod.: 129F
            
                




