Câncer da Vesícula Biliar
Gallbladder cancer
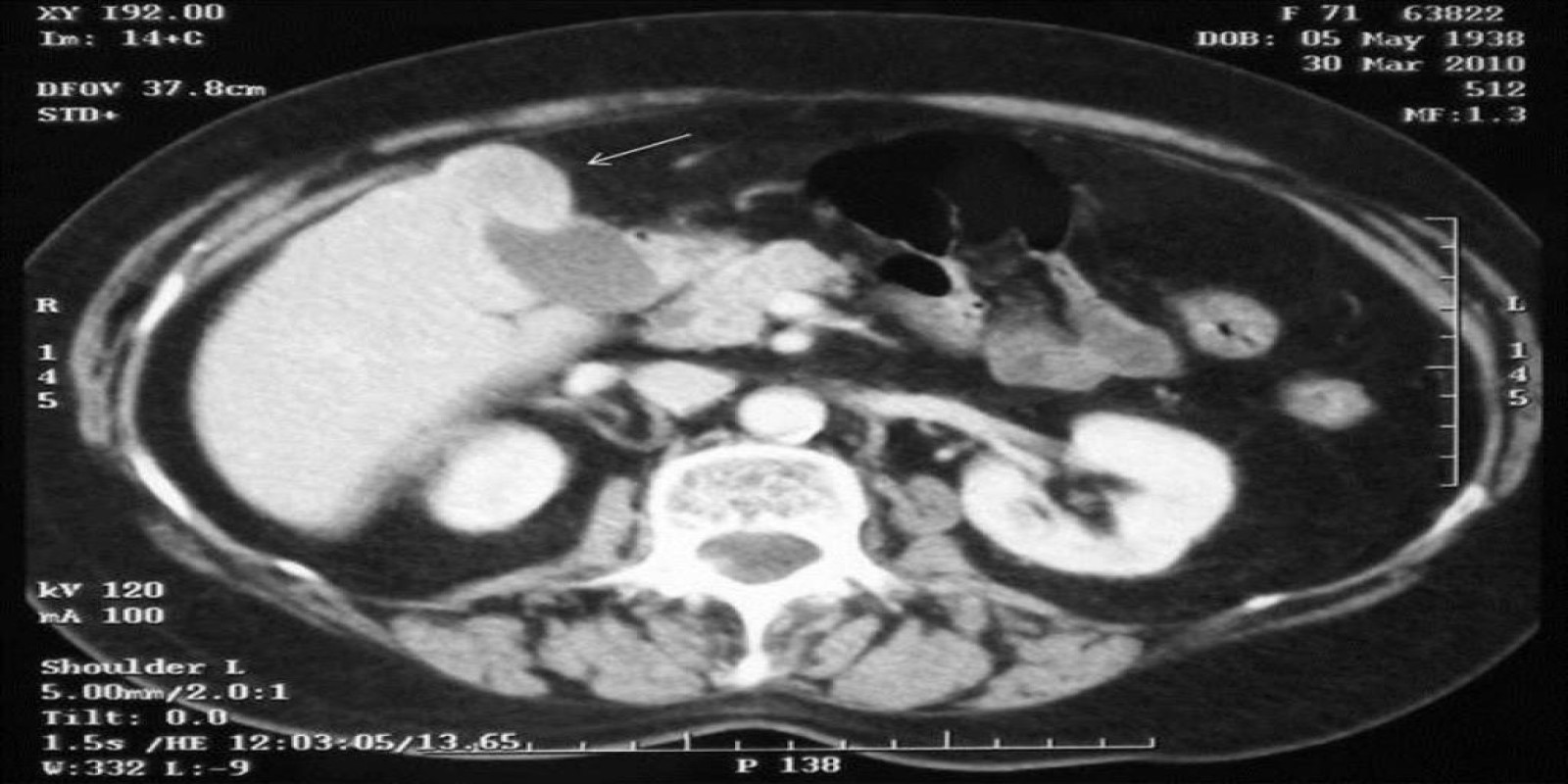
Caso Código 025A de Câncer da Vesícula Biliar
Cod.: 025A
Caso Código 025B de Câncer da Vesícula Biliar
Cod.: 025B
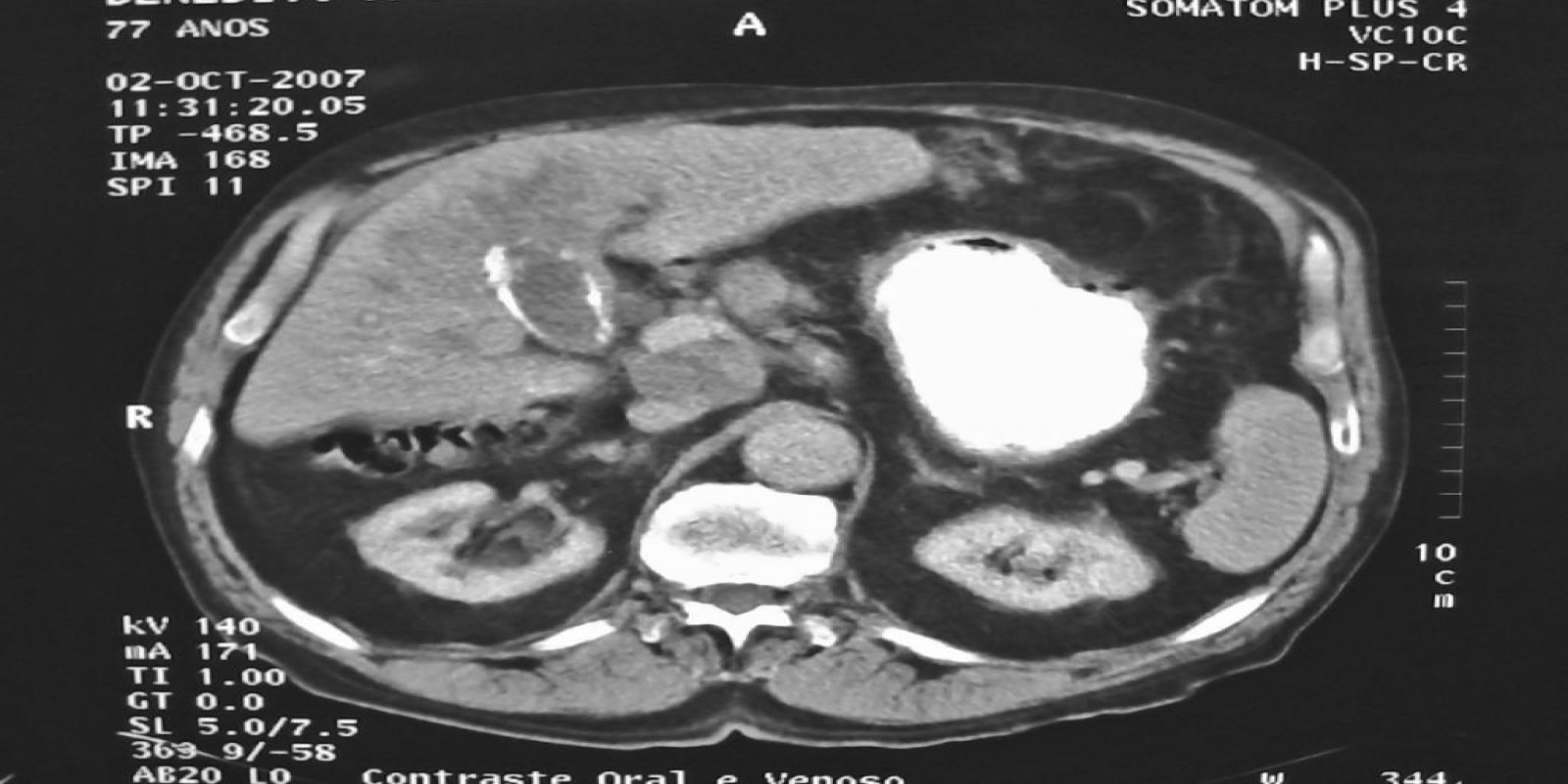
Caso Código 025C de Câncer da Vesícula Biliar
Cod.: 025C
Caso Código 025D de Câncer da Vesícula Biliar
Cod.: 025D
Caso Código 053A de Câncer da Vesícula Biliar
Cod.: 053A
Caso Código 053B de Câncer da Vesícula Biliar
Cod.: 053B
            
                




