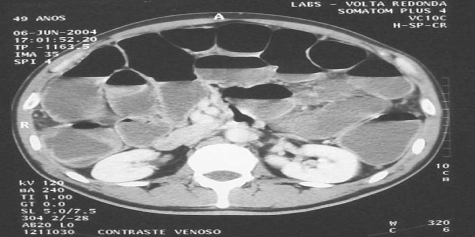
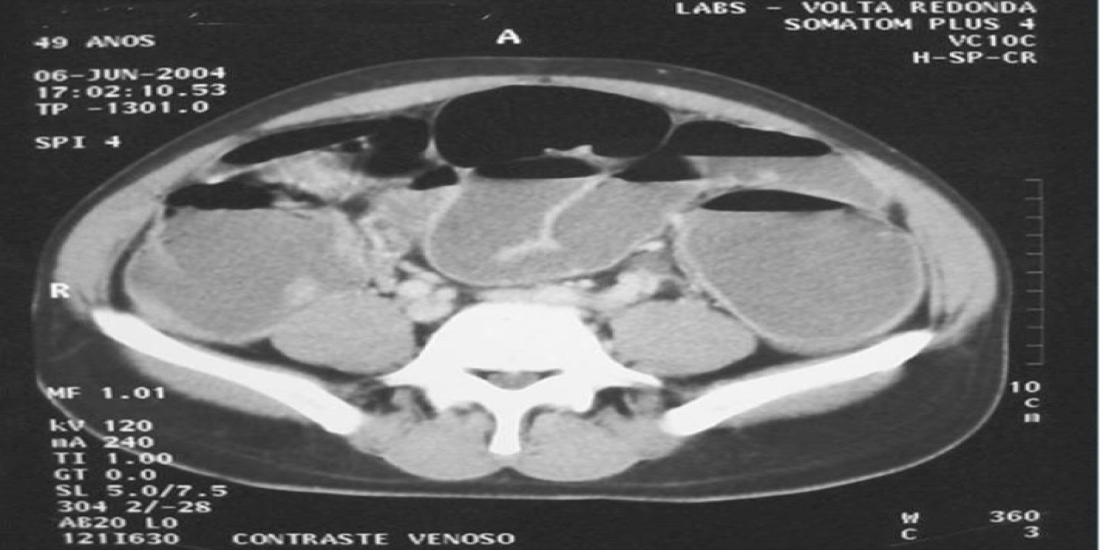
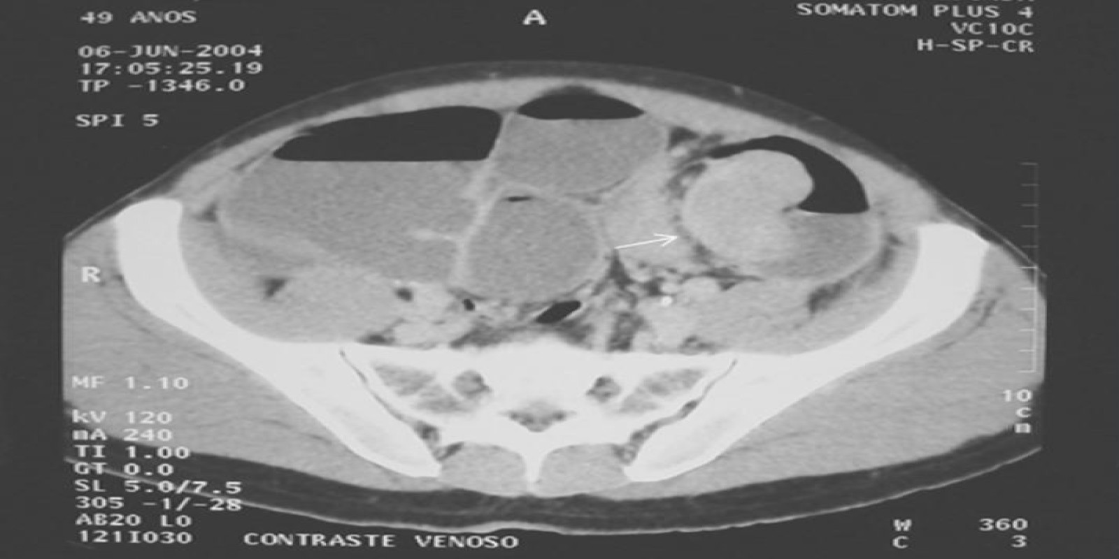
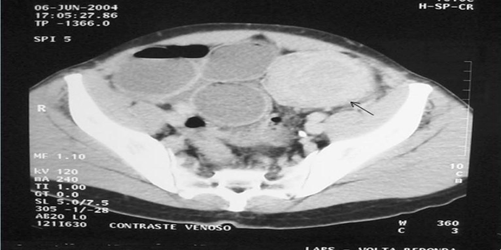
Obstrução Intestinal do Cólon
Large bowel obstruction
Caso Código 010A de Obstrução Intestinal do Cólon
Cod.: 010A
Caso Código 010B de Obstrução Intestinal do Cólon
Cod.: 010B
Caso Código 010C de Obstrução Intestinal do Cólon
Cod.: 010C
Caso Código 010D de Obstrução Intestinal do Cólon
Cod.: 010D
Caso Código 260A de Obstrução Intestinal do Cólon
Cod.: 260A
Caso Código 277A de Obstrução Intestinal do Cólon
Cod.: 277A
            
                




