Abscesso Hepático
Liver abscess
Caso Código 042G de Abscesso Hepático
Cod.: 042G
Caso Código 124A de Abscesso Hepático
Cod.: 124A
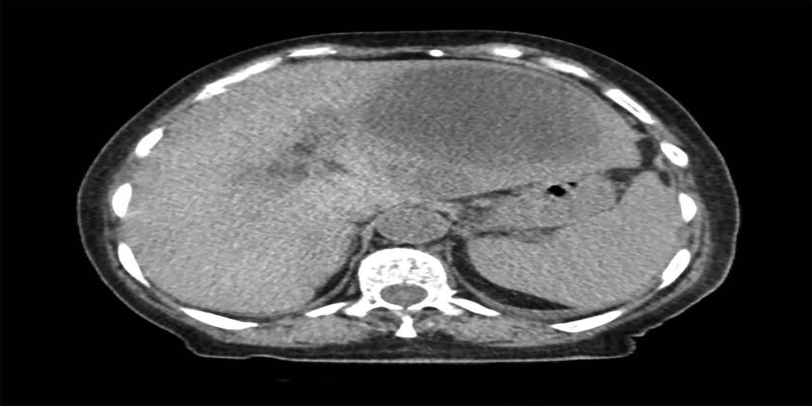
Caso Código 247A de Abscesso Hepático
Cod.: 247A
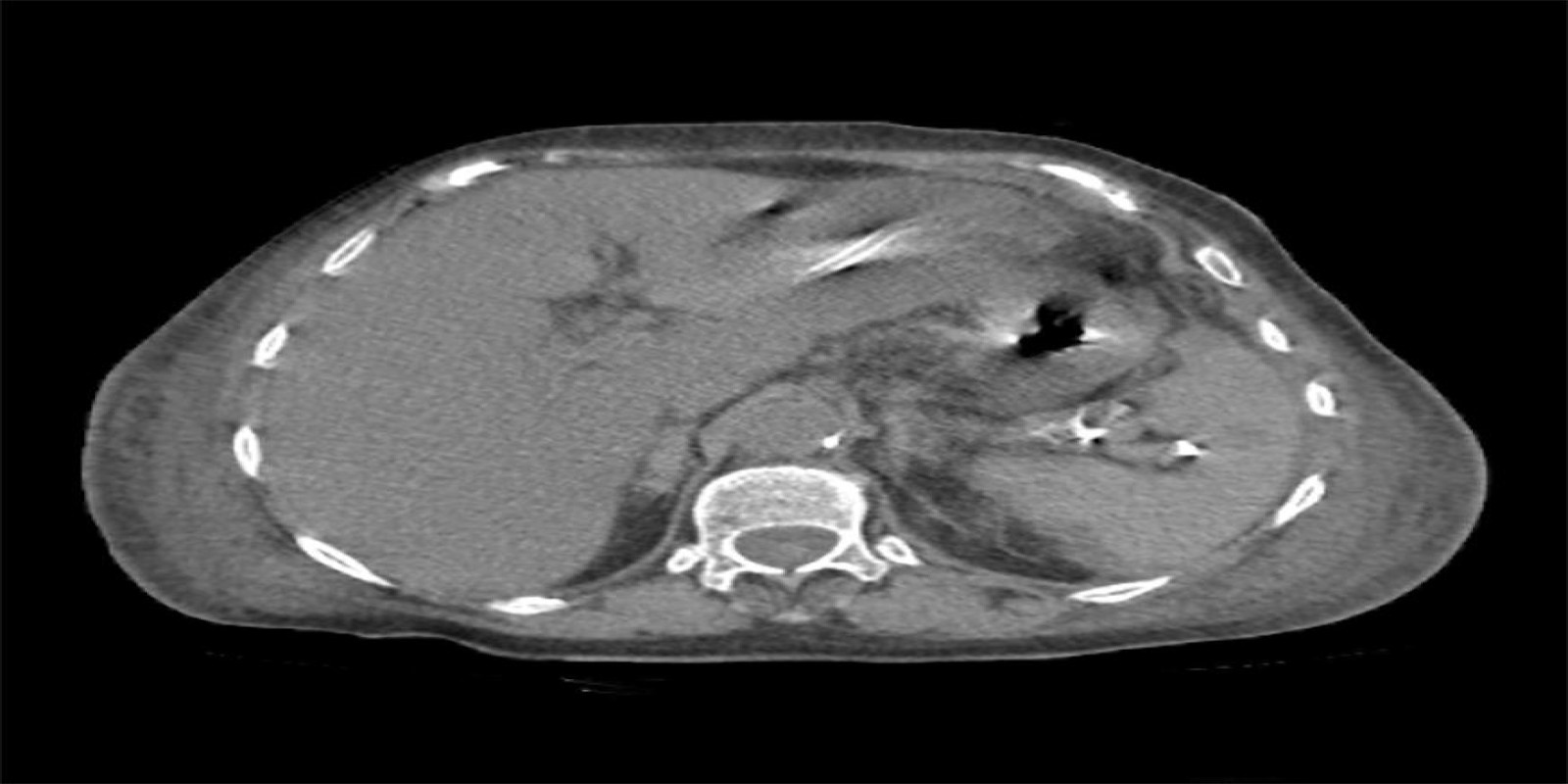
Caso Código 247B de Abscesso Hepático
Cod.: 247B
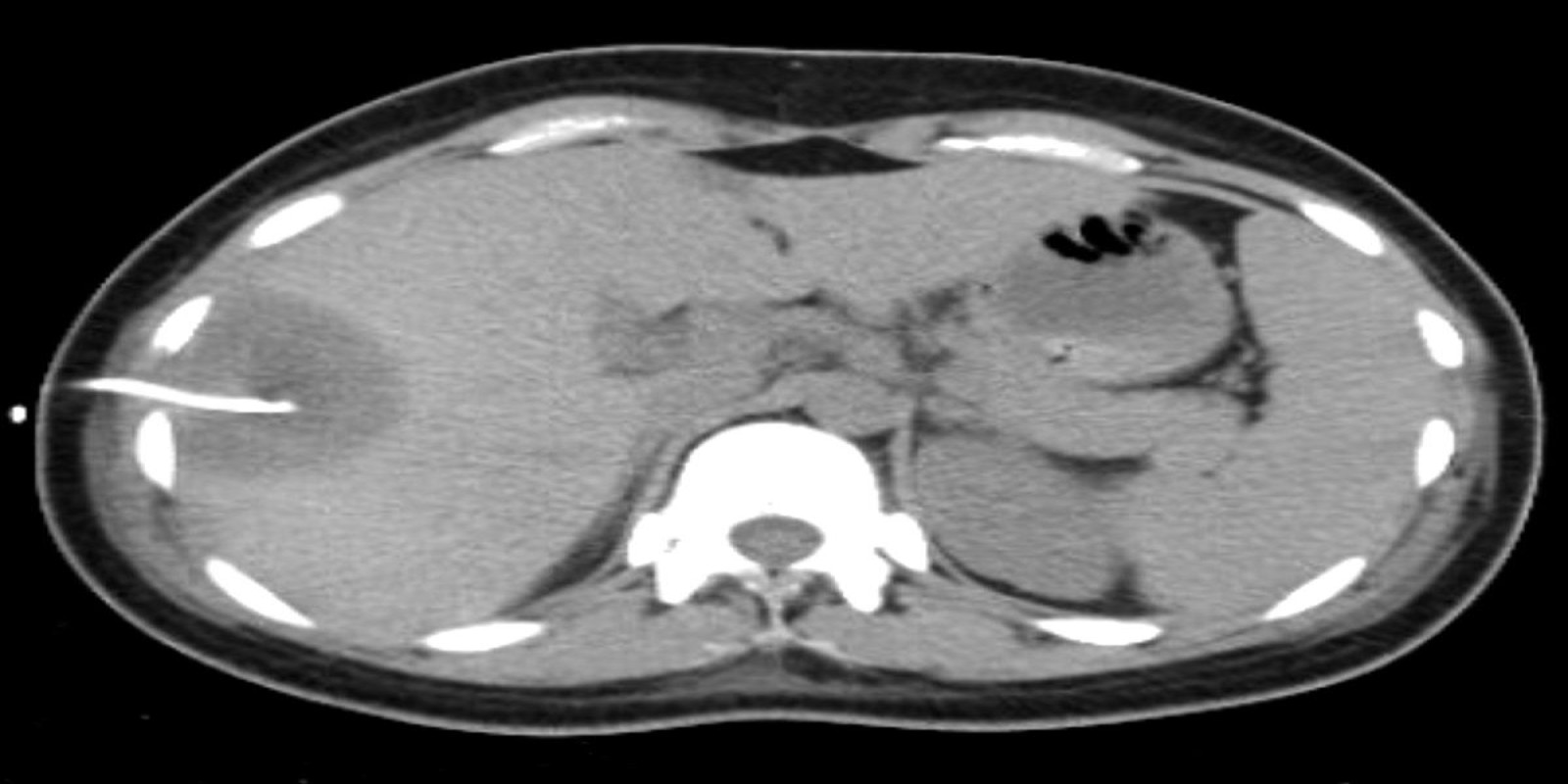
Caso Código 261A de Abscesso Hepático
Cod.: 261A
Caso Código 261B de Abscesso Hepático
Cod.: 261B





